Movie
一般社団法人審美再生医療機構について
医療ホワイトニングで
理想の白さを手に入れる


医療×美容
これまで歯科クリニックでしか出来なかった「医
療ホワイトニング」。医療機関監修のもと、安全で
ホワイトニング効果の高いセルフホワイトニング
を、お手軽に始めていただくことが出来ます!
これまで歯科クリニックでしか出来なかった「医療ホワ
イトニング」。医療機関監修のもと、安全でホワイトニ
ング効果の高いセルフホワイトニングを、お手軽に始め
ていただくことが出来ます!
Advantages
審美再生医療機構のこだわり
沁みる痛むのリスクが少ない
オリジナル処方薬剤使用!
特殊技術によるコーティングで
施術後食事制限なし
一般医療機器認証済みの
高出力マシン
審美再生医療機構の
提携ドクターが患者様に寄り添った診断!
一人ひとりの歯の質やご希望に合わせて適切なホワイ
トニングの方法をご提案いたします。 お気軽にご相談
ください。
歯科衛生士にいつでもLINEで相談できるか
ら安心して施術を受けられる!
ホワイトニングについて不安なことや施術について不
明なことなど、 LINEでお気軽にご相談いただけます。
沁みる痛むの
リスクが少ない
オリジナル処方
薬剤使用
特殊技術による
コーティングで
施術後の
食事制限なし
一般医療機器
認証済みの
高出力マシン
審美再生医療機構の
提携ドクターが患者様に寄り添った診断!
一人ひとりの歯の質やご希望に合わせて適切なホワイトニ
ングの方法をご提案いたします。
歯科衛生士にいつ
でもLINEで相談
できるから安心し
て施術を受けられ
る!
ホワイトニングについて不安なことや施術について不明な
ことなど、 LINEでお気軽にご相談いただけます。
一般社団法人審美再生医療機構提携クリニック
Affiliated Clinic
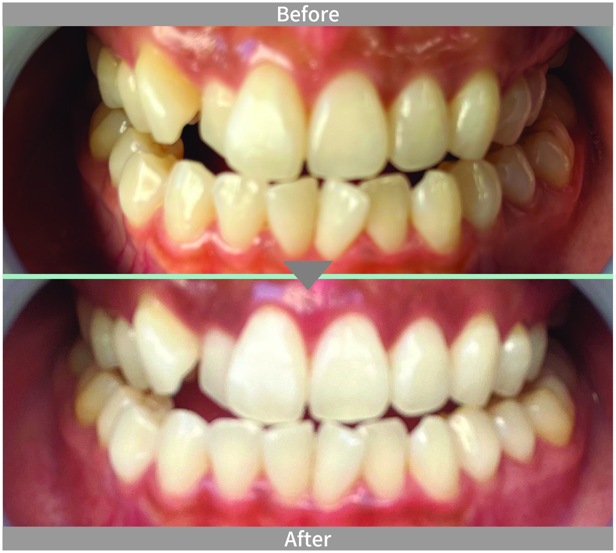
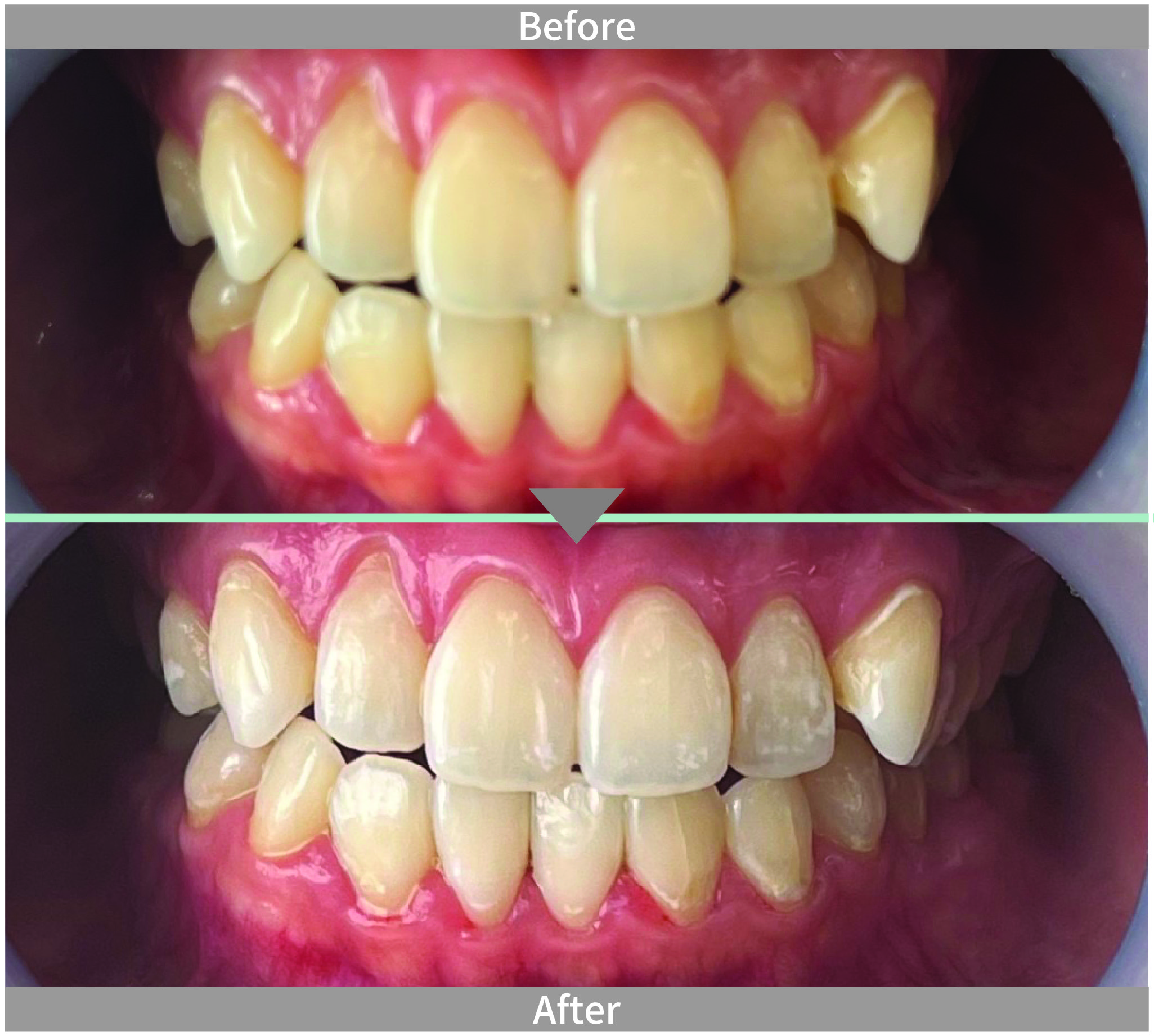
Before After
ビフォーアフター
Introduction
Flow
ご予約
→ホワイトニング施術までの流れ
STEP 1
WEB予約、LINE予約、お電話のいずれかよりご予約ください。
STEP 2
予約後にオンライン問診を記入していただき、口腔内の写真をメールにてお送りください。
STEP 3
歯科医がオンライン診療を行います。オンライン診療にてお客様に合った薬剤を処方します。
ご希望の方には、ホワイトニングに関するご相談も可能です。
(歯科衛生士常駐)。
STEP 4
手順通り、ご自身で施術を行
なってください。
おおよそ45分で素敵な笑顔に!
Introduction
Flow
ご予約
→ホワイトニング施術までの流れ
STEP 1
WEB予約、LINE予約、お電話のいずれかよりご予約ください。
STEP 2
予約後にオンライン問診を記入し、口腔内の写真をメールにてお送りください。
STEP 3
歯科医がオンライン診療を行います。オンライン診療にてお客様に合った薬剤を処方します。
ご希望の方には、ホワイトニングに関するご相談も可能です。
(歯科衛生士常駐)
STEP 4
手順通り、ご自身で施術を行なってください。
おおよそ45分で素敵な笑顔に!
About
Our
Whitening
審美再生医療機構のご紹介
審美再生医療機構が提案する最新式のホワイトニングが、” オンラインセルフホワイトニング ”。
施術前にオンラインで歯科医の診察を受けることで、医療レベルの薬剤を処方することができます。今までのセルフホワイトニングの限界を超えた白さを、安全に低価格で得られるシステムです。
About
Our Whitening
審美再生医療機構のご紹介
審美再生医療機構が提案する最新式のホワイトニングが、” オンラインセルフホワイトニング ”。
施術前にオンラインで歯科医の診察を受けることで、医療レベルの薬剤を処方することができます。今までのセルフホワイトニングの限界を超えた白さを、安全に低価格で得られるシステムです。
Why choose 審美再生医療機構?
Why choose
審美再生医療機構?
審美再生医療機構が選ばれる理由
歯科医のオンライン診察が
あるから安心
医療ホワイトニングを受ける場合、オンライン
で歯科医の診察を事前に受けることで、重大な
トラブルが起こらないように細かなケアを行わ
せていただきます。セルフとはいえ、安心でき
る環境をご用意いたします。
一般医療機器認証済みの
高出力マシン
KOBEホワイトニングが製造する一般医療機器認
証を取得した高出力のホワイトニングマシンを
使用。高出力であるからこそ、高い漂白効果を
もたらします。
他メーカーのホワイトニングマシンは一般医療機器認
証を取得していない雑貨扱いのものが大半を占めま
す。どちらの方が安全かは説明しなくても明白です。
※一般医療機器とは、人の生命・健康に与えるリスク
が極めて低いと厚生労働省から認められたもの
歯科医のオンライン診察があるから安心
医療ホワイトニングを受ける場合、オンラインで歯科医 の診察を事前に受けることで、重大なトラブルが起こら ないように細かなケアを行わせていただきます。セルフ とはいえ、安心できる環境をご用意いたします。
一般医療機器認証済みの
高出力マシン
KOBEホワイトニングが製造する一般医療機器認証を取得した高出力のホワイトニングマシンを使用。高出力であるからこそ、高い漂白効果をもたらします。
他メーカーのホワイトニングマシンは一般医療機器認証
を取得していない雑貨扱いのものが大半を占めます。ど
ちらの方が安全かは説明しなくても明白です。
※一般医療機器とは、人の生命・健康に与えるリスクが
極めて低いと厚生労働省から認められたもの
安全性の理由から厳選した薬液
使用する薬液は炎症や痛みが発生しにくい安全な過酸
化尿素にこだわりました。歯科医院で使用される過酸
化水素を提供することも可能ですが、過酸化尿素の濃
度を1/3にしたものと過酸化水素の濃度表示は同等の漂
白効果があり、テストを繰り返す中で30%の過酸化尿
素がリスクなく白さを追求できることがわかりました。
併用することによる相乗効果
過酸化尿素を使用する医療ホワイトニングと酸化チタ
ンと酸化タングステンを配合した薬液を使用するセル
フホワイトニングを併用することで、歯の白さを持続
させる効果も向上します。
安全性の理由から厳選した薬液
使用する薬液は炎症や痛みが発生しにくい安全な過酸化 尿素にこだわりました。歯科医院で使用される過酸化水 素を提供することも可能ですが、過酸化尿素の濃度を1/3 にしたものと過酸化水素の濃度表示は同等の漂白効果が あり、テストを繰り返す中で30%の過酸化尿素がリスク なく白さを追求できることがわかりました。
併用することによる相乗効果
過酸化尿素を使用する医療ホワイトニングと酸化チタン と酸化タングステンを配合した薬液を使用するセルフホ ワイトニングを併用することで、歯の白さを持続させる 効果も向上します。
| コース | 通常価格 | 特別価格 | |
|---|---|---|---|
| 都度払い | ¥6,000~ | 初回 ¥2,000 | |
| 3 回コース | ¥18,000~ | ¥12,600 |
|
| 6 回コース | ¥36,000~ | ¥21,600 |
|
| コース | 通常価格 | 特別価格 | |
|---|---|---|---|
| 都度払い | ¥2,500~ | - | |
| 3 回コース | ¥7,500~ | ¥5,250 |
|
| 6 回コース | ¥12,500~ | ¥7,500 |
|
※すべて税込み価格です。
※コース内容の詳細につきましては、スタッフにお尋ねください。
※施術範囲は、上下前歯8本ずつ(計16本)です。
※人工歯、治療中の歯につきましてはホワイトニング出来ません。
※妊娠中、授乳中、未成年の方のホワイトニングはお断りさせていただいております。